Специалисты советуют посещать врача при появлении обычного кашля


Специалисты советуют посещать врача при появлении обычного кашля 11.02.2015 22:55 Британские медики советуют посещать врача при появлении любых неприятных симптомов, связанных с органами дыхания.

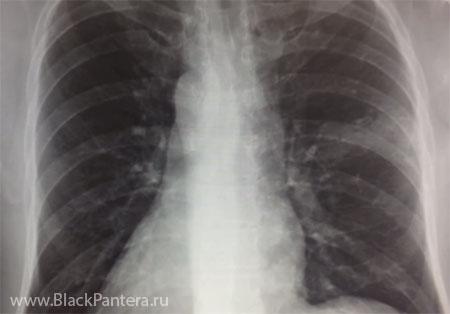
- Даже при легком кашле, ознобе, повышении температуры желательно обратиться за консультацией к врачу. Делать это необходимо потому, что в последнее время участились случаи заболевания пневмонией, которая в первые дни протекает так же, как легкая простуда. Пациенты жалуются на кашель, боли в горле, а буквально через 3-4 дня после начала заболевания резко поднимается температура и развивается обширный воспалительный процесс в легких. Поэтому гораздо безопаснее будет пройти обследование уже при легких симптомах, чтобы обезопасить себя от пневмонии, - сказал доктор Ричард Рассел (г. Лондон, Британия).

Стоит отметить, что самым надежным способом защиты от пневмонии является вакцинация, никаких других методов профилактики заболевания не существует.

Женский журнал www.BlackPantera.ru:  Дарья Орлова

Еще по теме:


Гость, 27.06.2015 05:59:14
А в особенности если ребенок кашлять начал - обязательно надо педиатра вызвать, чтобы он легкие детские послушал. Чтобы пневмонию исключить, а то она очень опасна.
Ваше имя:
Защита от автоматических сообщений:
Защита от автоматических сообщений Символы на картинке: